EXT 220 MED は、フィラメントベースの押出技術を用いて、PEEK や Radel® PPSU などの高性能ポリマーを用いたインプラントや器具の 3D プリントを可能にします。クリーンルームと温度制御を統合した唯一のプラットフォームであり、高品質なデバイス生産を可能にします。
-
EXT 220 MED と高性能ポリマーで医療機器を 3D プリント
このプラットフォームは、幅広いアプリケーションに対して迅速で再現性のあるプリンティングを実現し、世界中の主要な病院やデバイスメーカーによって検証されています。EXT 220 MED 3Dプリンターのその他の利点は次のとおりです。
- クリーンルームでの運用に最適化
- 完全に制御可能なビルドチャンバの加熱
- ASTM F2026 規格を満たすことが検証されています
- デルタキネマティクスによる優れた精度
- 均一な温度分布を可能にする層流エアフロー
- 適応型局所温度管理
-
EXT 220 MEDの簡単な紹介については、ビデオをご覧ください。
FDAは、最初の 3DプリントPEEK頭蓋インプラントをクリアします
VSP® PEEK頭蓋インプラントをご覧ください。この患者固有のソリューションは、頭蓋骨の欠損を修復するための頭蓋形成術に正確なフィット感と信頼性の高い性能を提供します。EXT 220 MEDがこのイノベーションをどのように実現したかをご覧ください。
EXT 220 MED と高性能ポリマーで医療機器を 3D プリント
EXT 220 MED (旧称: Kumovis R1) は、PEEK や Radel® PPSU などのインプラント用ポリマーや医療グレードのポリマーを使用した医療機器の製造を可能にするように設計されたオープンフィラメント 3D プリンタです。
温度管理による品質の向上
EXT 220 MED にはグローバル層流エアフローが装備されており、ユーザはビルドチャンバを摂氏 250 度まで均一に加熱できます。局所的にエアフローを追加すると、機器の機械的特性の向上に貢献します。このプラットフォームは、PEEKや Radel® PPSUなどの熱発生ポリマーを使用して製造された高品質の3Dプリント医療機器を可能にするために、生産中の温度を制御するように設計されています。
-
完全に制御可能なビルドチャンバの加熱
摂氏 250 度まで加熱し、機器の反りを防ぎ、層の接着性を高め、特定のポリマーに合わせてビルドチャンバの温度を調整
-
均一な温度分布を可能にする層流エアフロー
ビルド部品内で温度勾配のない再現性を保証
-
適応型局所温度管理
各ストランドとレイヤの局所冷却を個別に調整し、加熱してレイヤの接着性をさらに高め、後処理の必要性を減らし、サポート構造の除去を簡素化
ビルドチャンバをクリーンルームにする
内蔵フィルタシステムを活用して、ビルドチャンバをクリーンルームに変換し、汚染を回避できます。さらに、3D プリンタは、既存の滅菌環境で生産を行うための「クリーンルーム対応」であり、医療基準を満たしています。
-
クリーンルームでの運用に最適化
- EXT 220 MED プラットフォームを標準的な医療生産環境に統合
- 医療適格性評価 (IQ、OQ、PQ) に合格するためのプロセスに対するサポートを受ける
- 換気フードで、プリンタをクリーンルームの排気口に接続
-
フィルタシステムを内蔵
- 粒子を遮断し、汚染を防止
- DIN EN ISO 14644 に準拠した ISO クラス 7 クリーンルームの要件に適合
-
高度な汚染防止機能を装備
- フィラメントと最終部品の汚染リスクを排除
- タッチして開くヒンジなどのスマートな設計で清掃とメンテナンスを簡素化
プロセスを監視し、品質を保証
EXT 220 MED で使用されている産業グレードの制御システムとソフトウェアは、関連するすべてのプロセスパラメータを監視するだけでなく、規制の厳しい業界でのプロセス分析とドキュメント化も可能にします。
サンプル・アプリケーション
EXT 220 MED は、フィラメントベースの押出技術を用いて、PEEK や Radel® PPSU などの高性能ポリマーを用いたインプラントや器具の 3D プリントを可能にします。クリーンルームと温度制御を統合した唯一のプラットフォームであり、高品質なデバイス生産を可能にします。
サンプルアプリケーション
-
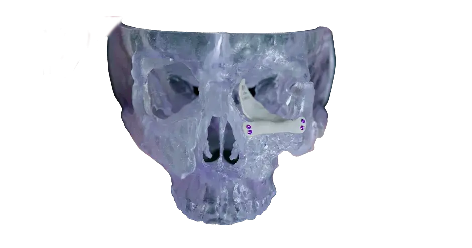
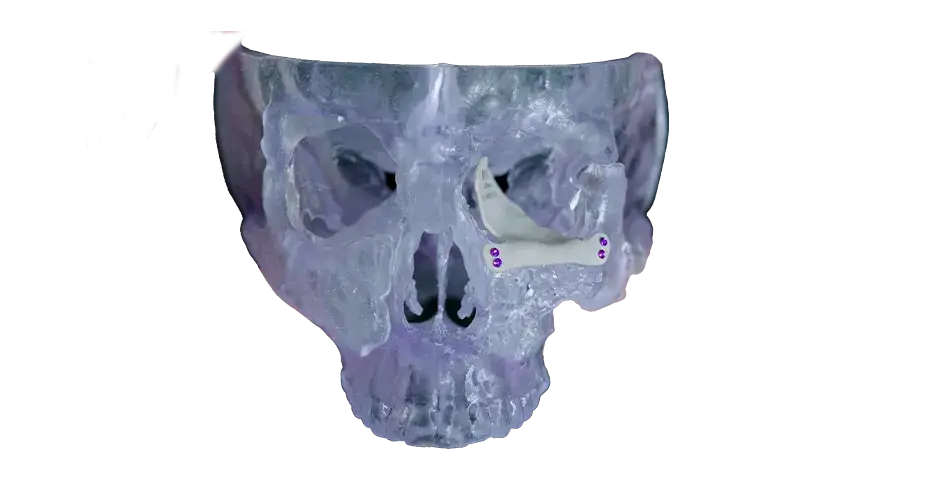
頭蓋顎顔面インプラント
材料: ピーク
患者固有の頭蓋プレートと眼窩プレートは、設計から納品までの完全なワークフローを使用して 3Dプリントされます。スキャンから手術まで、製造時間は最短2日です。 -
椎体間固定装置
材料: PEEK BCPの
BCPまたはHAを充填したPEEKは、統合された格子構造と組み合わせることで、細胞の接着と増殖をサポートすることを目的としています。 -
フェイシャルインプラント
材料: ピーク
標準的な固定システムと互換性のある患者専用デバイス。 30で印刷 -60 分 -
オービタルフロアインプラント
材料: PEEK Barium Sulphate
3 硫酸バリウムでPEEKを強化することで、イメージング技術の視認性を確保します。
このプリンターの特徴
- クラニオマキシロフェイシャル
- 頭蓋インプラント
- 顎顔面アンレー
- 整形外科
- 骨プレート
- 脊髄ケージ
- Radel® PPSU 器具
- 縫合糸アンカー
- 8 つの医療グレードの高性能ポリマー
- 温度管理による優れた機械的特性を保証
- クリーンルーム対応ビルドチャンバ
- リアルタイムデータを使用したプロセスを監視し、ドキュメント化
- 最大 250°C の均一なビルドチャンバ温度
- 製造テクノロジ: 溶融積層製造 (FLM)
- 機械寸法: 823 x 985 x 1950 mm
- 造型サイズ: Ø180 x 150 mm
- 生産精度: 100/100/100 μm
- 層厚: 50 ~ 400 µm
- プリント速度: 100 ~ 3500 mm/分
EXT 220 MED プリンタと互換性のある材料
PEEK Material
医療用インプラントに最適な高性能で生体適合性のあるポリマー
Radel PPSU (Polyphenylsulfone)
滅菌可能な医療機器に最適な高耐衝撃性ポリマー
-
すべての医療用材料を表示する
EXT 220 MEDは、ポイントオブケアで患者固有のPEEKインプラントを可能にします
ザルツブルク大学病院の重要な医学的マイルストーンである3DプリントPEEK頭蓋プレートの最初の埋め込みを通じて、3Dプリンティングの人生を変える可能性を発見してください。
-
ドキュメント
-
リソース